Você é uma daquelas pessoas que sempre dizem fazer tudo com a “mão errada”?
Agora você pode silenciar as críticas – os canhotos, de acordo com os pesquisadores, são claramente mais espertos do que as pessoas destras.
Parece que os canhotos têm um cérebro mais rápido, entre outros, o jornal El Universal escreveu sobre isso há algum tempo.
Desde os tempos antigos, a mão esquerda foi exposta a rumores de todos os tipos, por exemplo, que a mão esquerda era a mão “errada” e que é mais provável que acabe na cadeia se canhoto.
Mas agora vários estudos provam o contrário.
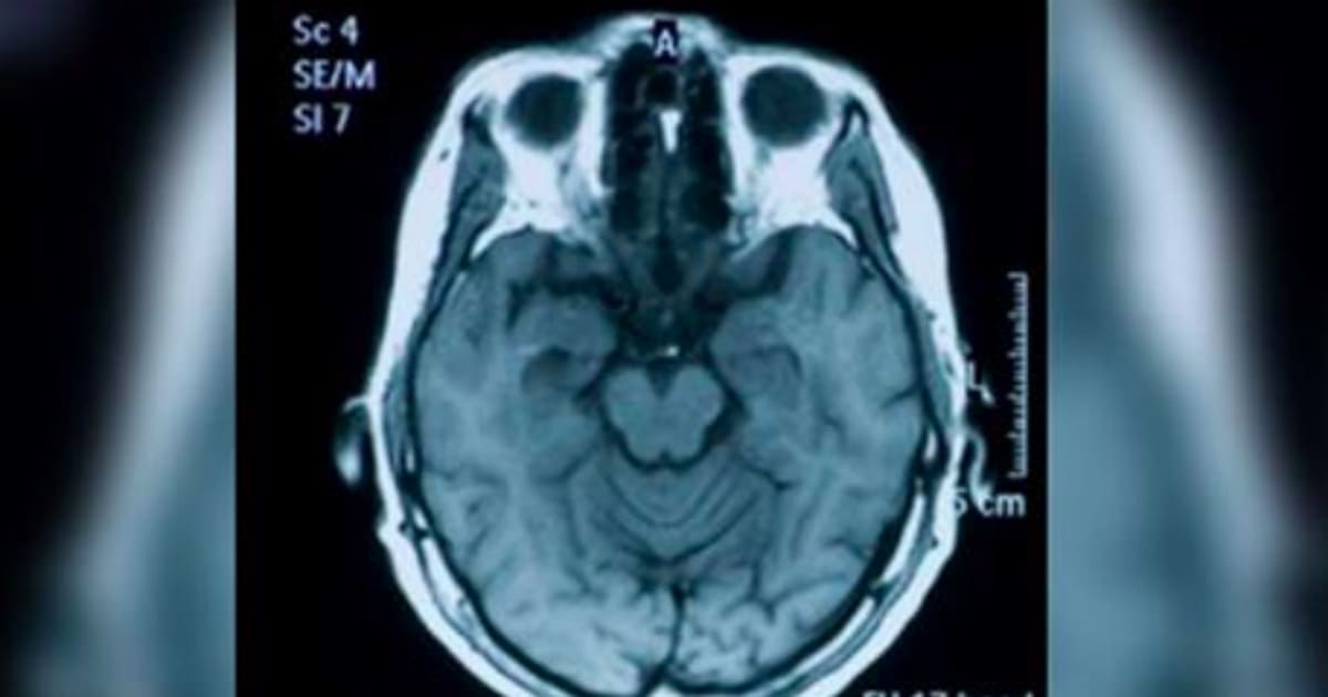
Esquerdistas têm um cérebro mais inteligente
Os canhotos têm o hemisfério direito em média e o corpo caloso maior que os demais.

Isso significa que os canhotos têm uma mente mais desenvolvida para perceber o espaço, melhor capacidade cognitiva e melhor processamento de informações em comparação com pessoas destras.
Eles são melhores em matemática
Um relatório da IFL Science desenvolveu vários estudos sobre pessoas canhotas – e foi demonstrado que eles resolvem problemas matemáticos mais facilmente.
As tarefas variaram de simples a complicadas. Nos problemas mais fáceis, nenhuma diferença direta foi vista, mas quando o nível de dificuldade aumentou, os canhotos foram muito mais altos, de acordo com o estudo.
É por isso que não é de surpreender que muitos de nossos gênios ilustres fossem canhotos, como Albert Einstein.

É por isso que se você ouvir continuamente que você faz as coisas com a “mão errada”, agora você pode mostrar a esses críticos o contrário!
Via: Historias com Valor

